Charité total disc replacement--clinical and radiographical results after an average follow-up of 17 years
- PMID: 16254716
- PMCID: PMC3489410
- DOI: 10.1007/s00586-005-1022-3
Charité total disc replacement--clinical and radiographical results after an average follow-up of 17 years
Abstract
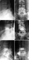
A retrospective clinical-radiological study to evaluate the long-term outcome after artificial disc replacement was performed. The objective is to investigate long-term results after implantation of a modular type artificial disc prosthesis in patients with degenerative disc disease (DDD). Total disc replacement (TDR) is a surgical procedure intended to save segmental spinal function, and thus replace spondylodesis. Short-term results are promising, whereas long-term results are scarce. The Charité TDR is the oldest existing implant, therefore, the longest possible follow-up is presented here. Seventy-one patients were treated with 84 Charité TDRs types I-III. Indication for TDR was moderate to severe DDD. Fifty-three patients (63 TDRs) were available for long-term follow-up of 17 years. Evaluation included Oswestry disability index, visual analog scale, overall outcome score, plain and extension/flexion radiographs. Implantation of Charité TDR resulted in a 60% rate of spontaneous ankylosis after 17 years. No significant difference between the three types of prostheses was found concerning clinical outcome. Reoperation was necessary in 11% of patients. Although no adjacent segment degeneration was observed in the functional implants (17%), these patients were significantly less satisfied than those with spontaneous ankylosis. TDR, nowadays, is an approved procedure. Proof that long-term results of TDR implantation in DDD are at least as good as fusion results is still missing.
Figures






Comment in
-
Letter to the Editor concerning "Charité total disc replacement: clinical and radiographical results after an average follow-up of 17 years" (M. Putzier et al.).Eur Spine J. 2006 Apr;15(4):510-3; author reply 518-20, discussion 521-2. doi: 10.1007/s00586-006-1081-0. Epub 2006 Mar 4. Eur Spine J. 2006. PMID: 16518585 Free PMC article. No abstract available.
-
Letter to the Editor concerning "Charité total disc replacement: clinical and radiographical results after an average follow-up of 17 years" (M. Putzier et al.).Eur Spine J. 2006 Apr;15(4):514-7; author reply 518-20, discussion 521-2. doi: 10.1007/s00586-006-1080-1. Epub 2006 Mar 4. Eur Spine J. 2006. PMID: 16518586 Free PMC article. No abstract available.
-
Controversies in new technologies: how should a scientific journal stand?Eur Spine J. 2006 Jul;15(7):1033-4. doi: 10.1007/s00586-006-0153-5. Eur Spine J. 2006. PMID: 16823558 Free PMC article. No abstract available.
References
-
- Blumenthal SL, Ohnmeiss DD, Guyer R, Hochschuler S, McAfee P, Garcia R, Salib R, Yuan H, Lee C, Bertagnoli R, Bryan V, Winter R. Artificial intervertebral discs and beyond: a North American Spine Society Annual Meeting symposium. Spine J. 2002;2(6):460–463. doi: 10.1016/S1529-9430(02)00540-5. - DOI - PubMed
MeSH terms
LinkOut - more resources
Full Text Sources
Other Literature Sources
Medical
Research Materials