First report of Leishmania (Viannia) lindenbergi causing tegumentary leishmaniasis in the Brazilian western Amazon region
- PMID: 31120019
- PMCID: PMC6532396
- DOI: 10.1051/parasite/2019030
First report of Leishmania (Viannia) lindenbergi causing tegumentary leishmaniasis in the Brazilian western Amazon region
Abstract
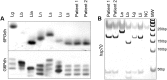
Tegumentary Leishmaniasis (TL) in the Brazilian Amazon region is associated with several Leishmania species. In this report, we describe two cases of TL related to Leishmania lindenbergi occurring in different locations of Rondônia state. After clinical diagnosis, lesion samples were collected for parasitological diagnoses via direct microscopic visualization, parasite isolation, and PCR. PCR reactions were positive in both clinical samples. Parasite isolation was possible for both patients, and isolates were submitted to species identification by isoenzyme electrophoresis and DNA sequencing. This report is the first to describe human infections caused by L. lindenbergi since the initial description and record of human infection by this species in 2002.
La leishmaniose tégumentaire (TL) en Amazonie brésilienne est associée à plusieurs espèces de Leishmania. Dans ce rapport, nous décrivons deux cas de TL liés à Leishmania lindenbergi survenus à différents endroits de l’état de Rondônia. Après le diagnostic clinique, des échantillons de lésion ont été recueillis à des fins de diagnostic parasitologique par visualisation au microscope direct, isolement du parasite et PCR. Les réactions de PCR étaient positives dans les deux échantillons cliniques. L’isolement des parasites a été possible pour les deux patients et les isolats ont été soumis à l’identification de l’espèce par électrophorèse des isoenzymes et séquençage de l’ADN. Ce rapport est le premier à décrire les infections humaines causées par L. lindenbergi depuis la description initiale et le signalement de cas d’infection humaine par cette espèce en 2002.
© L.M. Cantanhêde et al., published by EDP Sciences, 2019.
Figures




References
-
- Brasil. Ministério da Saúde. 2018. Leishmaniose Tegumentar Americana – Casos confirmados Notificados no Sistema de Informação de Agravos de Notificação – Sinan Net: 2018.
-
- Cantanhêde LM, Silva Júnior CF, Ito MM, Felipin KP, Nicolete R, Salcedo JMV, Porrozzi R, Cupolillo E, Ferreira RGM. 2015. Further evidence of an association between the presence of Leishmania RNA Virus 1 and the mucosal manifestations in tegumentary leishmaniasis patients. PLoS Neglected Tropical Diseases, 9(9), e0004079. - PMC - PubMed
-
- da Graça GC, Volpini AC, Romero GAS, Oliveira Neto MPD, Hueb M, Porrozzi R, Boité MC, Cupolillo E. 2012. Development and validation of PCR-based assays for diagnosis of American cutaneous leishmaniasis and identification of the parasite species. Memórias do Instituto Oswaldo Cruz, 107, 664–674. - PubMed
Publication types
MeSH terms
LinkOut - more resources
Full Text Sources